Pampa Dental Arts
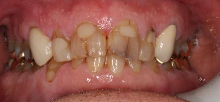
I have a badly damaged tooth
Tooth Extraction

We offer comfortable, efficient tooth extraction here at our comfortable Pampa dental office.

I have a badly damaged tooth | Dentist

Tooth Extraction in Pampa, TX

Do you have severe tooth pain that keeps you up at night? Has your dentist told you that a tooth is beyond saving? We understand that facing a tooth extraction can be concerning, but Dr. Chris Mohr provides gentle, expert care in your community.

We perform tooth extractions at our Pampa, TX, dental office, including emergency removals for patients in immediate pain. Our goal is to relieve your discomfort as quickly as possible while providing the highest standard of care.

When Tooth Extraction Is Necessary

At Pampa Dental Arts, saving natural teeth is always our priority. However, there are situations where extraction is truly in your best interest:

  • A tooth damaged beyond repair 
  • Advanced gum disease that has loosened teeth
  • Overcrowded teeth affecting proper alignment
  • Infection too advanced for root canal treatment
  • Preparation for certain types of orthodontics, implants, or dentures

For more complex cases, such as impacted wisdom teeth, Dr. Mohr works with trusted specialists to ensure you receive the best care for your situation.

Benefits of Choosing Pampa Dental Arts for Tooth Extraction

Don't suffer needlessly with pain or worry about having a tooth removed. Dr. Chris Mohr offers comfortable tooth extractions at our Pampa dental office, so you can get the care you need without the long drive.
Care from a Team You Know and Trust
When you need a tooth removed, having a dental team you already know and trust can significantly reduce anxiety about the procedure. We understand your dental history and preferences for a more reassuring experience during a potentially stressful time.
Advanced Anesthesia for Comfort
Our computer-assisted anesthesia delivery system looks more like a pen than a traditional syringe. The technology controls the flow and pressure of the anesthetic, for a more comfortable injection and to ensure you feel no pain during your extraction.
Calming Nitrous Oxide
If you experience dental anxiety, we offer nitrous oxide (laughing gas) sedation. This safe, effective option helps you relax during the procedure while remaining conscious. The effects wear off quickly, allowing you to drive yourself home afterward.

Frequently Asked Questions

After removing a tooth, the bone that once held the roots in place begins to shrink and recede. This natural process is called resorption. Socket preservation is a specialized procedure performed during tooth extraction to minimize bone loss and maintain the shape of your jaw for future tooth replacement.

How Socket Preservation Works

During socket preservation, Dr. Mohr places bone grafting material directly into the socket after removing the tooth. This material becomes a scaffold for new bone growth. A protective membrane is often placed over the graft, and Dr. Mohr places stitches to help the healing process.

Why Consider Socket Preservation?

This procedure is particularly important if you're considering dental implants in the future. Implants require adequate bone volume for proper placement and support. Without socket preservation, you might need more extensive bone grafting procedures before an implant can be placed.

Planning for Your Future Smile

Even if you're not immediately planning tooth replacement, socket preservation gives you more options for the future. Dr. Mohr can discuss whether socket preservation suits your situation during your extraction consultation. This preventive approach to bone maintenance can save you significant time, discomfort, and expense in the future.

For more information about socket preservation or to schedule an extraction consultation, call our Pampa, TX, dental office at (806) 665-0921.

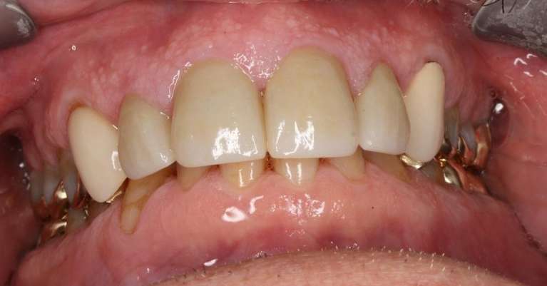
Precise, Comfortable Extractions in Pampa, TX

Before any extraction, Dr. Mohr conducts a thorough examination, including digital X-rays, to evaluate your tooth and surrounding bone. He'll explain exactly why extraction is recommended and answer all your questions.

Most patients are surprised by how quick and comfortable the extraction process can be with our modern approach. Many tell us their anxiety before their appointment was far worse than the actual procedure.

Recovery and Next Steps

After your extraction, our team will provide detailed aftercare instructions to promote healing and minimize discomfort. These guidelines help prevent complications and ensure a smooth recovery.

Once healing is complete, Dr. Mohr will be happy to discuss tooth replacement options with you. Depending on your specific situation, these might include a dental implant, dental bridge, partial denture, or complete denture.

  • Dr. Chris Mohr

    Dr. Mohr completed his undergraduate education in Lincoln, Nebraska, where he attended Union College. He graduated summa cum laude with his Bachelor of Science in Business Administration with an emphasis in Pre-Dental Studies in 2008.

    After completing his undergraduate studies, he moved to Colorado to pursue his dream of becoming a dentist. Dr. Mohr attended the University of Colorado School of Dental Medicine and graduated with his Doctor of Dental Surgery degree in 2012.

    Upon graduating, he began his practice ...

    View More

Don't Live with Tooth Pain Another Day

If you're experiencing severe tooth pain or have been told you need an extraction, call Pampa Dental Arts at (806) 665-0921. Your comfort and care are our highest priorities.

We proudly serve patients throughout the Northeastern Texas Panhandle, including Pampa, Canadian, Wheeler, White Deer, Shamrock, Perryton, McLean, and beyond.

I have a badly damaged tooth Technology

Computer-Assisted Anesthesia in Pampa, TX

Computer-Assisted Anesthesia in Pampa TX

This innovative technology delivers local anesthesia using computer-controlled flow rates rather than traditional manual pressure. The system resembles a pen more than a conventional syringe, making it less intimidating visually. Dr. Mohr uses this technology for all injections, ensuring precise, controlled anesthetic delivery at the ideal pressure and speed. You'll experience significantly less discomfort during injections, less numbness after your procedure, decreased anxiety about "shots," and more predictable, consistent numbness for procedures.

If you have difficulty using our website, please email us or call us at (806) 665-0921
View the ADA Accessibility Statement