Skip to main content
I need affordable tooth replacement
Dentures and Partials

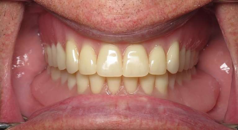
Forget fake-looking dentures! Our custom-crafted versions look natural and beautiful.

A couple smiling after getting Dentures and Partials in Pampa, TX

Dentures and Partials in Pampa, TX

An elderly woman trying out Dentures in Pampa, TXDo you struggle with missing teeth? Do you pass up certain foods or feel self-conscious because of the gaps in your smile? With custom-crafted dentures and partials at Pampa Dental Arts, we help our patients rediscover the joys of smiling confidently and chewing comfortably.

Dr. Mohr provides comfortable, natural-looking dentures and partials that look nothing like the bulky, fake-looking teeth of the past. Today's dentures are lighter, more comfortable, and designed to complement your facial features for a truly natural appearance.

Types of Dentures We Offer

  • Complete Dentures — Complete dentures replace an entire set of upper teeth, lower teeth, or all teeth. These removable appliances rest directly on the gums and are custom-made to fit comfortably in your mouth.
  • Partial Dentures — If you have healthy natural teeth remaining, partial dentures may be the solution. Partials are designed to fit in and among remaining teeth and fill in the gaps with natural-looking replacements.
  • Implant-Retained Dentures — For the greatest comfort and stability, snap-in dentures attach to dental implants in the jawbone. They "snap" onto the implants so they won’t slip or shift, but you can easily remove them for cleaning.

Benefits of Dentures and Partials

Getting dentures for the first time can feel like a big step. Our team will support you through every step so you can enjoy the benefits that millions of denture-wearers have already discovered.
Chew and Smile Confidently
Dentures allow you to eat a wider variety of foods. They also boost your confidence when interacting with friends or in business settings. No more hiding your mouth or avoiding photos—eat, speak, and laugh comfortably knowing your smile looks great.
Affordable Tooth Replacement
Compared to other tooth replacement options, dentures are typically more budget-friendly. They are a missing tooth solution without the costs of multiple implants or fixed bridges, making them a great choice for patients with various financial needs.
Fast, Beautiful Results
If you want a complete smile without the wait, removable full or partial dentures may be the answer. Most denture patients can have their new smile in just a few weeks, rather than the months sometimes required for implant treatments.

Frequently Asked Questions

While the best teeth are natural teeth, custom dentures look, fit, and feel better than ever before. At Pampa Dental Arts, we carefully custom-craft dentures for each unique smile, and we won’t be happy until we know you’re delighted with the results.

How Modern Dentures Have Improved

Wonder what has changed about dentures to make them so realistic-looking? Here are some improvements you may not have considered:

  • Lighter, more flexible materials move naturally with your mouth
  • Advanced technology ensures proper fit and function
  • High-quality acrylics and porcelains mimic the translucency of natural teeth
  • Customized color-matching complements skin tone, hair color, and facial features
  • Personalized gum tissue appearance looks realistic and natural

The result? Dentures that look so natural that others will think it’s just your own beautiful smile.

Realistic-Looking Dentures in Pampa, TX

If you've been hesitant about dentures based on stories from previous generations or old stereotypes, we invite you to discover how today's dentures can provide a comfortable, natural-looking solution for missing teeth. Call or schedule an appointment at (806) 665-0921 to learn more about your options.

Our team is pleased to serve patients from throughout the Northeastern Texas Panhandle, including Canadian, Wheeler, White Deer, Shamrock, Perryton, McLean, and beyond.

The Custom Denture Process

Dentures and Partials in Pampa, TXAt Pampa Dental Arts, we understand that getting dentures is a significant decision. Dr. Mohr and our caring team guide you through each step:

  1. Taking detailed impressions and measurements to ensure a precise, comfortable fit
  2. Creating a wax try-in version of the dentures to check for appearance and fit
  3. Delivering the final dentures and adjusting for fit
  4. Scheduling follow-up appointments to monitor progress as you adjust to your new teeth

Quick Denture Repairs and Relines

Accidents happen. If your denture breaks or needs adjustment, we offer same-day repair services, including:

  • Repair broken denture bases
  • Replace broken or missing denture teeth
  • Same-day denture relines for improved comfort and fit

We'll ensure you won't have to go without teeth for long; in most cases, we can complete repairs while you wait or on the same day you call.

  • Dr. Chris Mohr

    Dr. Mohr completed his undergraduate education in Lincoln, Nebraska, where he attended Union College. He graduated summa cum laude with his Bachelor of Science in Business Administration with an emphasis in Pre-Dental Studies in 2008.

    After completing his undergraduate studies, he moved to Colorado to pursue his dream of becoming a dentist. Dr. Mohr attended the University of Colorado School of Dental Medicine and graduated with his Doctor of Dental Surgery degree in 2012.

    Upon graduating, he began his practice ...

    View More

Restore Your Smile with Dentures in Pampa, TX

If you're considering dentures in Pampa, TX, or already have them and need a repair, call Pampa Dental Arts at (806) 665-0921 to schedule an appointment. Dr. Mohr and our team welcome patients throughout the Northeastern Texas Panhandle, including Canadian, Wheeler, White Deer, Shamrock, Perryton, McLean, and beyond.

I need affordable tooth replacement Technology

Panoramic X-Rays in Pampa, TX

Panoramic X-Rays in Pampa TX

A panoramic x-ray creates a single, wide image of the entire mouth, showing all teeth, jaws, sinuses, and jaw joints in one comprehensive view. Unlike traditional x-rays, which focus on a few teeth at a time, this technology captures the complete picture without placing anything inside your mouth. Dr. Mohr uses panoramic x-rays to evaluate wisdom teeth, assess jaw joint issues, plan dentures, and detect abnormalities that might not appear on regular x-rays.