Pampa Dental Arts

Ceramic Crowns

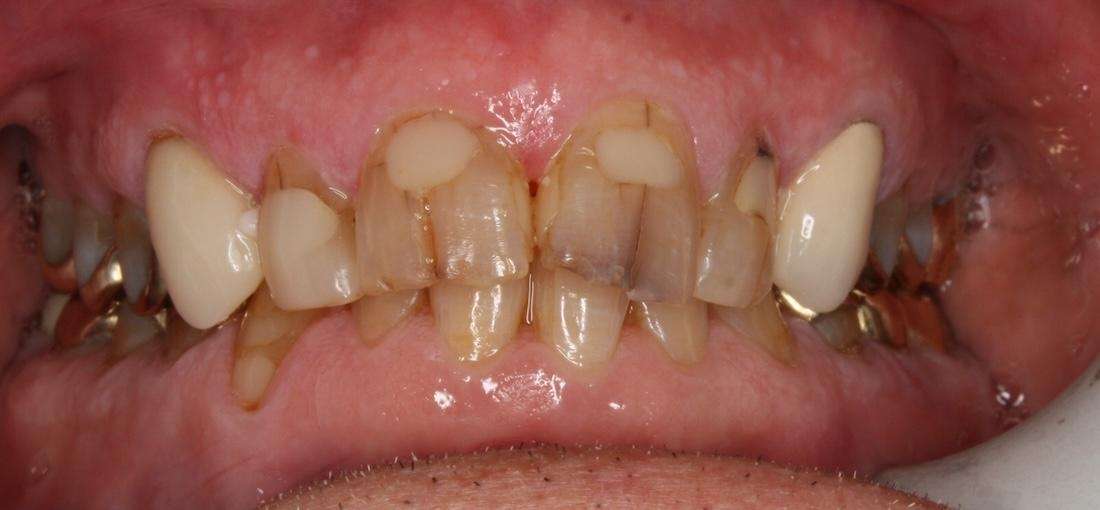
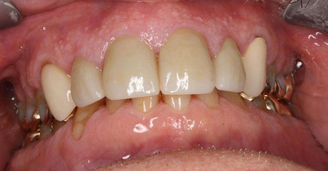
Before-and-after image showcasing the transformation with ceramic crowns in Pampa, TX. Achieve a strong, natural-looking smile with lifelike results that blend seamlessly.

Related Services:

I have a badly damaged tooth
Not finding what you need?
If you have difficulty using our website, please email us or call us at (806) 665-0921
View the ADA Accessibility Statement