Pampa Dental Arts

Implant Bridge

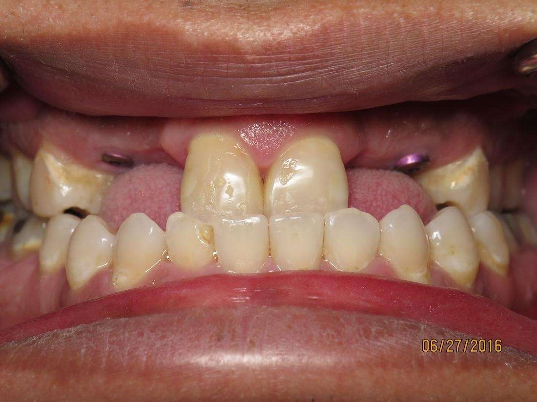
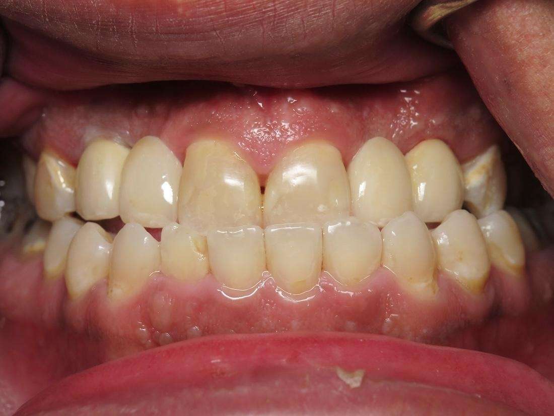
Before-and-after image showing a smile restored with an implant bridge in Pampa, TX. Enjoy a secure, natural-looking solution for missing teeth with long-lasting results.

 

We Warmly Welcome New Patients to Our Practice
If you have difficulty using our website, please email us or call us at (806) 665-0921
View the ADA Accessibility Statement