Pampa Dental Arts

Implant Dentures

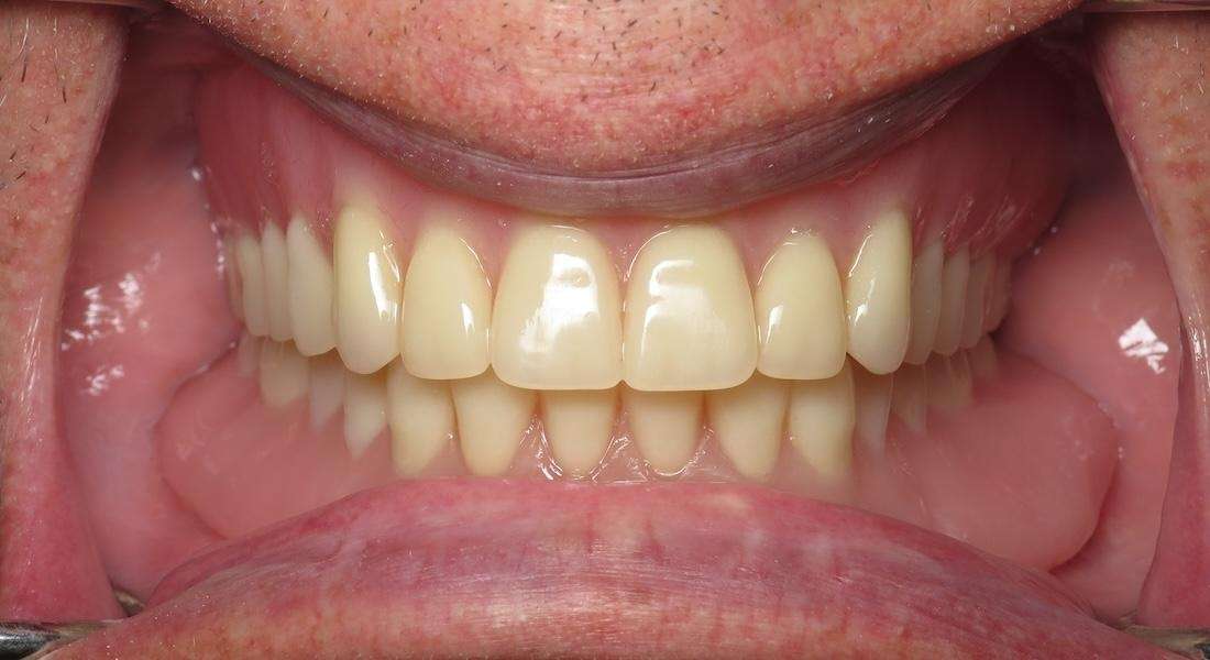
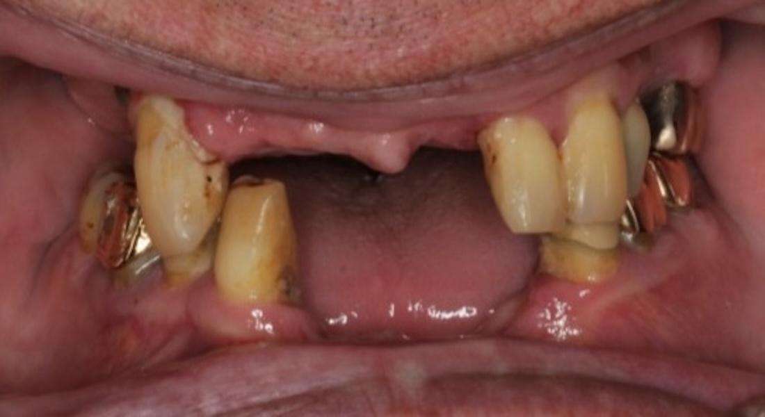
Before-and-after image of implant dentures in Pampa, TX. Experience a secure, comfortable fit with natural-looking results—restoring confidence and full-mouth function.

We Warmly Welcome New Patients to Our Practice
If you have difficulty using our website, please email us or call us at (806) 665-0921
View the ADA Accessibility Statement